Skip links

Implantes Dentales

Nos caracterizamos por brindar un servicio enmarcado en una cultura de responsabilidad, contando con un excelente grupo de profesionales con tecnología de punta y materiales avanzados que se resume en la calidad humana y en los tratamientos realizados.

Recupera tu sonrisa

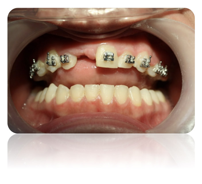
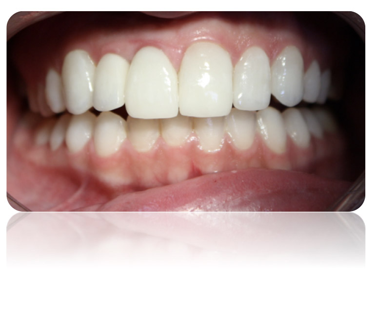
Los implantes son elementos metálicos usualmente en titanio puro que se ubican quirúrgicamente en los huesos maxilares, debajo de las encías. Una vez colocados en el lugar se puede colocar sobre ellos las coronas o puentes fijos que reemplazarán a las piezas dentarias perdidas
This website uses cookies to improve your web experience.